Search is not available for this dataset
image
imagewidth (px) 512
512
|
|---|
End of preview. Expand
in Data Studio
YAML Metadata
Warning:
empty or missing yaml metadata in repo card
(https://huggingface.co/docs/hub/datasets-cards)
Nuclei Grading Dataset for ccRCC
License: Apache-2.0
Overview
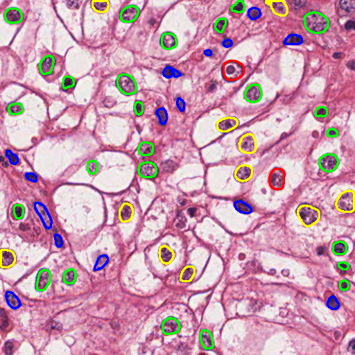
This dataset is designed for nuclei grading in clear cell renal cell carcinoma (ccRCC). It consists of 1000 H&E stained image patches with a resolution of 512 × 512.
In total, the dataset contains 70,945 labeled nuclei, each annotated with:
- Instance segmentation masks
- Classification masks
The original Whole Slide Images (WSIs) are sourced from the TCGA (The Cancer Genome Atlas) database.
Data Splits
The dataset is divided into three subsets:
- Training: 700 patches
- Testing: 200 patches
- Validation: 100 patches
Data Composition
Each sample in this dataset comprises two parts:
- ROIs (image patches):
- Saved as
.pngfiles under the corresponding folders.
- Saved as
- Annotations:
- Saved as
.matfiles under the corresponding folders. - Each
.matfile contains the following three keys:
- Saved as
| Key | Description |
|---|---|
instance_map |
A pixel matrix with values from 0 to N. 0 represents the background; 1-N are the instance numbers of each nucleus. |
class_map |
A pixel matrix with values from 0 to 4. 0: Background 1-3: Tumor nucleus grades 1 to 3 4: Endothelial nuclei |
TCGA_file_name |
The filename of the original TCGA WSI from which the image patch was cropped. |
Class Distribution
This dataset contains 70,945 annotated nuclei, distributed across four classes:
| Class | Count | Color |
|---|---|---|
| Endothelial nuclei | 16,652 | Blue |
| Grade 1 tumor nuclei | 45,108 | Green |
| Grade 2 tumor nuclei | 6,406 | Yellow |
| Grade 3 tumor nuclei | 2,779 | Red |
Usage and Restrictions
- This dataset is for research purposes only.
- Commercial use is strictly prohibited.
If you use this dataset in your research, you must cite the following publication:
@inproceedings{gao2021nuclei,
title={Nuclei grading of clear cell renal cell carcinoma in histopathological image by composite high-resolution network},
author={Gao, Zeyu and Shi, Jiangbo and Zhang, Xianli and Li, Yang and Zhang, Haichuan and Wu, Jialun and Wang, Chunbao and Meng, Deyu and Li, Chen},
booktitle={Medical Image Computing and Computer Assisted Intervention--MICCAI 2021: 24th International Conference, Strasbourg, France, September 27--October 1, 2021, Proceedings, Part VIII 24},
pages={132--142},
year={2021},
organization={Springer}
}
- Downloads last month
- 5
